
マウスピース矯正
初診・相談
当院では日本矯正歯科学会認定医が2名在籍しております。
初診では審美性と機能性の両面から診査・診断を行い、丁寧なカウンセリングを通しておひとりおひとりに最適化された治療計画をご提案いたします。
治療内容・期間・費用についても十分にご理解いただけるよう丁寧にご説明いたします。
ご不安な点やご不明な点がございましたら、
どうぞ安心してご相談ください。
日本矯正歯科学会認定医 在籍

マウスピース矯正
(クリアコレクト)の特徴
クリアコレクトは、透明で目立ちにくいマウスピースを用いて歯並びを整える矯正です。
見た目への影響を最小限に抑えながら、進めることができます。
クリアコレクトのマウスピースは、薄くなめらかなため装着時の違和感が少なく、日常生活にもなじみやすいです。お仕事中や人と接する場面でも、装置を気にすることなく過ごしていただけます。
取り外しが可能なため、食事や歯磨きもしやすく、忙しい毎日を送る方でも無理なく続けやすい矯正方法です。

ワイヤー矯正との違い
■ ワイヤー矯正との違い(比較表)
項目
マウスピース矯正
ワイヤー矯正
見た目
透明で目立ちにくい
装置が目立つ
快適性
違和感が少ない
違和感が出やすい
取り外し
可能
不可
食事
制限なし
制限あり
歯磨き
しやすい
やや難しい
| 項目 | マウスピース矯正 | ワイヤー矯正 |
|---|---|---|
| 見た目 | 透明で目立ちにくい | 装置が目立つ |
| 快適性 | 違和感が少ない | 違和感が出やすい |
| 取り外し | 可能 | 不可 |
| 食事 | 制限なし | 制限あり |
| 歯磨き | しやすい | やや難しい |
マウスピース矯正
【料金・支払い方法】
短期間で、
気になる部分だけ整えたい方へ
対象の目安
前歯など、気になる部分のみ整えたい方に適したプランです。
軽度の歯並び改善を短期間ですることが可能です。
治療期間
約3ヶ月
※適応は軽度症例に限ります
費用
49.5万円(税込)〜
※デンタルローン 月々8,300円〜
歯並び全体を整えたい方へ
(標準症例)
対象の目安
歯並び全体を整えたい方に適した、当院で最も選ばれているプランです。見た目と噛み合わせの両方を改善し、自然で美しい歯並びを目指します。
治療期間
精密検査後のシミュレーションにて算出いたします。
費用
77万円(税込)~
※デンタルローン 月々8,300円〜
※症例により精密検査の結果、軽度〜中等度の症例であれば 66万円(税込)〜のプランが適応となる場合があります
大きな乱れを整えたい方へ
(複雑症例)
対象の目安
歯列全体の大きな移動や難症例など、より高度な改善が必要な方に適したプランです。幅広い症例に対応可能です。
※症例に応じて適切なプランをご提案いたします
治療期間
精密検査後のシミュレーションにて算出いたします。
費用
88万円(税込)~
※デンタルローン 月々9,500円〜
デンタルローンについて
デンタルローンをご利用いただくことで、月々のお支払いで無理なく治療を開始することが可能です。
まとまったご負担を抑えながら、マウスピース矯正を受けていただけます。
お支払い例
全体矯正(77万円)の場合
月々 8,300円〜
※分割回数により月額は異なります
お支払い回数
6回払い〜120回払いまでの分割払いに対応しております。ご希望の回数に応じてお支払いプランをご選択いただけます。
※分割回数は審査結果により異なります
お支払い方法
・ デンタルローン(分割払い)
・ クレジットカード
・ 現金
ご案内
正確な治療内容・費用については、
カウンセリング時に歯並びの状態を確認したうえで、
丁寧にご説明いたします。
まずはお気軽にご相談ください。
精密検査・診断について
精密検査・診断料
11,000円(税込)
矯正治療をご検討されている方には、
歯並びや噛み合わせの状態を正確に把握するため、
精密検査・診断を行っています。
※矯正治療を開始された場合、精密検査・診断料は治療費に全額充当されます。
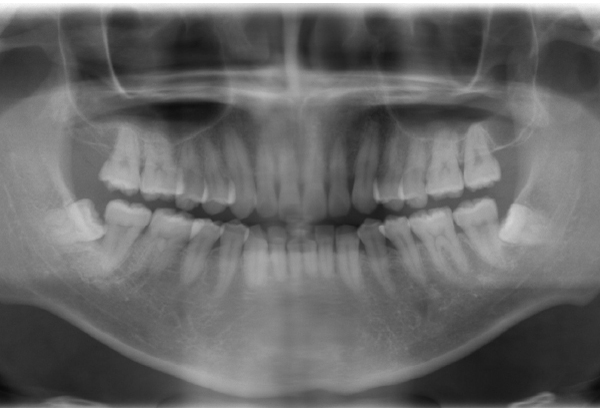
精密検査の内容
歯並びの状態や治療後の仕上がりイメージ、治療期間の目安について事前に確認していただけます。
精密検査では、以下の検査を行います。

パノラマレントゲン撮影

口腔内写真

口腔内スキャナーによる
3Dスキャン
これらの検査結果をもとに、歯並びや噛み合わせの状態を正確に把握し、
一人ひとりに適した治療方法をご説明します。
Straumann社製 口腔内スキャナー
「SIRIOS」による精密診断
当院では、世界的歯科メーカーである
Straumann(ストローマン)社の口腔内スキャナー「SIRIOS」を導入しています。
高精度3Dスキャンにより、歯並びや噛み合わせを立体的に確認できます。
従来の粘土のような型取りは不要で、短時間で負担の少ない検査が可能です。
取得したスキャンデータをもとに、治療計画や仕上がりのイメージを
モニター画面で分かりやすくご説明いたします。
矯正治療の流れ
矯正相談・精密検査
当院では、矯正治療をご検討中の方へ15分間の矯正相談を無料で実施しております。
まずは歯並びや噛み合わせのお悩み、ご不安、ご希望をお伺いし、治療方法・期間・費用の目安をご説明いたします。
本格的に治療を進める場合は、精密検査・診断(11,000円税込)を行います。
精密検査では
- パノラマレントゲン
- 口腔内写真
- 口腔内スキャナー「SIRIOS」
による3Dスキャンを行い、歯並びや噛み合わせの状態を詳しく分析します。
取得した検査データをもとに、お一人おひとりに適した治療計画をご提案いたします。
診断・治療計画のご説明
精密検査の結果をもとに、歯並びや咬み合わせの状態を診断し、矯正治療の方法・治療期間・費用について、分かりやすく丁寧にご説明いたします。
ご希望やライフスタイルに配慮した、お一人おひとりに適した治療計画をご提案いたします。
治療開始
治療計画および内容にご理解・ご同意いただいたうえで、矯正治療を開始いたします。
精密検査結果をもとに適切な治療方法をご案内いたします。
当院ではマウスピース矯正を中心に行っておりますが、歯並びやご希望に応じて、矯正分院にてワイヤー矯正をご案内することも可能です。
矯正治療は歯並びや噛み合わせの状態により、適した治療方法が異なります。
当院では精密検査の結果をもとに、お一人おひとりに適した治療計画をご提案いたします。
ご不明な点がございましたら、お気軽にご相談ください。
ホワイトニング



デュアルホワイトニング
(オフィス+ホームで白さを継続)
短期間での変化と、
長持ちを両立するホワイトニング
オフィスホワイトニングで白さを引き出し、
ホームホワイトニングでその白さを維持します。
55,000円(税込)
通常 66,000円
オフィスホワイトニング
1回でも白さの変化を
実感しやすいホワイトニング
医療機関専用薬剤(Tion)使用/3回照射
歯科医院で行うホワイトニングです。
短時間で白さの変化を目指したい方におすすめです。
開業記念キャンペーン
初回:25,300円
通常価格
33,000円(税込)
再来:27,500円
ホームホワイトニング
自宅で続けて、
自然な白さを目指すホワイトニング
専用マウスピースと薬剤を使用し、
ご自宅で行うホワイトニングです。時間をかけて白さを浸透させるため、自然で色戻りしにくいのが特徴です。
価格
33,000円(税込)
所要時間について
オフィスホワイトニングの施術時間は、
約60分程度です。
フレックスタイムの空いた時間や、
お仕事の休憩時間を利用して
通っていただくことも可能です。
忙しい方でも、無理なく続けられるよう
配慮しています。
ホワイトニングプラン比較
| プラン | 白くなる速さ | 白さの持続力 | 特徴 |
|---|---|---|---|
|
デュアルホワイトニング |
★★★★★ | ★★★★★ | 即効性と持続力を両立。 最も効果を実感しやすい人気プラン |
| オフィスホワイトニング | ★★★★★ | ★★★☆☆ | 1回で効果を実感しやすい。 短期間で白くしたい方に最適 |
| ホームホワイトニング | ★★★☆☆ | ★★★★★ | 色戻りしにくく白さが長持ちしやすい。 自宅でゆっくり白くしていく方法 |
歯科ボトックス
お口まわりの悩みを改善する、
歯科ボトックス
歯科ボトックスは、口元やあご周りの筋肉にアプローチし、食いしばりや歯ぎしり、エラ張りなどのお悩みを改善する施術です。歯科医師が行うため、噛み合わせやお口の状態を考慮しながら、安全かつ的確に施術を行います。美容と機能の両面から、快適で美しい口元へ導きます。
世界初!
液体型ボツリヌストキシン
イノトックス使用
イノトックスは、筋肉の過剰な動きをやわらげるボツリヌストキシン製剤で、口元や顎まわりのバランスを整える治療です。歯科領域では、食いしばりや筋肉の緊張を軽減しながら、自然で美しい口元へ導く目的で使用されます。当院では、口元の動きや筋肉の状態を見極めながら、機能面と審美面の両方に配慮した施術を行っております。
イノトックスの特徴
・液体製剤のため濃度が安定し、
精度の高い施術が可能
・人由来・動物由来成分を含まず、
安全性に配慮
・自然な仕上がりで
違和感が少ない
このような方におすすめ
・口元の印象を自然に整えたい方
・笑顔や表情にコンプレックスがある方
・食いしばりや歯ぎしりが気になる方
・エラの張りや顎の緊張を改善したい方
ガミースマイル
気になる歯ぐきの露出を抑え、
上品な笑顔に
笑ったときに歯ぐきが見えすぎる状態を改善し、自然でバランスの取れた口元へ整えます。上品で美しい笑顔を目指したい方におすすめです。
価格
16,500円(税込)
口角
自然に口角アップで、
やわらかな印象へ
口角を自然に引き上げ、明るくやわらかい印象の笑顔へ導きます。口元が下がって見える方や、不機嫌そうに見られがちな方におすすめの施術です。
価格
11,000円(税込)
オトガイ
(梅干しジワ)
あごの梅干しジワを改善し、
なめらかな輪郭へ
あごにできる梅干し状のシワを改善し、なめらかで整ったフェイスラインに導きます。表情のクセによるシワが気になる方に適しています。
価格
11,000円(税込)
エラ
エラ張りを抑えて、
すっきり小顔ラインへ
エラの張りを抑え、すっきりとした小顔ラインへ導きます。フェイスラインをシャープにしたい方や、食いしばりが気になる方にもおすすめです。
価格
33,000円(税込)
医療費控除についてのご案内
歯科治療は、内容によって医療費控除の対象となる場合があります。
1年間(1月1日〜12月31日)の医療費が、10万円または総所得の5%のいずれかを超えると、
確定申告により税負担が軽減されます。
噛み合わせ改善や歯列矯正など、機能回復を目的とした治療であれば、
自費診療でも対象となる可能性があります。
※適用の可否や控除額は個々の状況により異なります。